Groepspraktijk van specialisten in orthodontie en craniofaciale orthopedie

Orthodontie volwassen

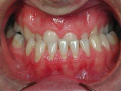
Er zijn nog geen items beschikbaar.
Voorbeelden Klik op de foto voor meer informatie

Contacteer ons

Churchill Orthodontics

Frederik de Merodestraat 55
2800 Mechelen
Belgium
Nieuwe patiënt

Alle raadplegingen gebeuren enkel na telefonische afspraak:

Tel.: +32 15 33 75 86


Sitemap

Openingsuren

maandag - dinsdag - woensdag - vrijdag:    
: 9 - 13 u | 14 - 18 u 

Beste patiënt,

Hartelijk dan voor de interesse in onze praktijk. Momenteel is het zeer druk waardoor we niet bij iedereen onmiddellijk een behandeling kunnen opstarten. Wel kan u registeren op de wachtlijst. U kan hiervoor telefonisch contact opnemen met onze praktijk: 015/33.75.86