Groepspraktijk van specialisten in orthodontie en craniofaciale orthopedie

Orthodontie voorbeelden

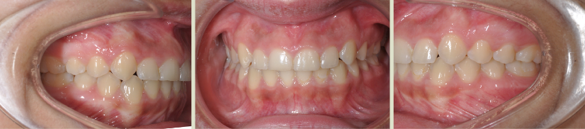
Hieronder kan u verschillende succesvolle orthodontie voorbeelden bekijken. Via de behandeling met blokjes en ook via de behandeling met Invisalign (verder onderaan op deze webpagina).

Blokjes Voor





 Blokjes Na

Invisalign Voor
Invisalign Na
Contacteer ons

Churchill Orthodontics

Frederik de Merodestraat 55
2800 Mechelen
Belgium
Nieuwe patiënt

Alle raadplegingen gebeuren enkel na telefonische afspraak:

Tel.: +32 15 33 75 86


Sitemap

Openingsuren

maandag - dinsdag - woensdag - vrijdag:    
: 9 - 13 u | 14 - 18 u 

Beste patiënt,

Hartelijk dan voor de interesse in onze praktijk. Momenteel is het zeer druk waardoor we niet bij iedereen onmiddellijk een behandeling kunnen opstarten. Wel kan u registeren op de wachtlijst. U kan hiervoor telefonisch contact opnemen met onze praktijk: 015/33.75.86